马虹,王江,叶建荣,郑宏(执笔人/负责人),孟尽海,洪毅,郭曲练,喻田,薛荣亮
Warning: date() expects parameter 2 to be long, string given in /www/wwwroot/csahq/_code/app/view/guide/detail.php on line 19
阅读 5304
一、概述
桡动脉是最常用的动脉穿刺部位,通常选用左侧桡动脉。腕部桡动脉在桡侧屈腕肌腱和桡骨下端之间纵沟中,桡骨茎突上下均可摸到桡动脉搏动。由于此动脉位置浅表、相对固定,因此穿刺置管比较容易。此外,腋、肱、尺、股、足背和颞浅动脉均可采用。桡动脉穿刺置管前需常规进行改良Allen试验,以了解桡动脉阻断后来自尺动脉掌浅弓的侧支分流是否足够。
二、适应证与禁忌证
(一)适应证
1. 接受复杂、重大手术,如体外循环下心脏直视手术或肝移植手术,需持续监测血压变化者。
2. 血流动力学不稳定的患者,如严重创伤、多脏器功能衰竭和各类休克患者。
3. 术中需进行血液稀释、控制性降压的患者。
4. 无法测量无创血压者。
5. 需指导心血管活性药物使用及持续血药浓度监测的患者。
6. 需反复抽取动脉血行血气分析等检查的患者。
7. 在采血困难时,需用此法获取大量血标本者。
8. 需通过动脉压力波形获得诊断信息的患者。
9. 需根据收缩压变异度评价容量治疗反应的患者。
(二)禁忌证
1.改良Allen试验阴性者。
2. 穿刺部位或附近存在感染、外伤者。
3. 凝血功能障碍或机体高凝状态者。
4. 有出血倾向或抗凝治疗期间者。
5. 合并血管疾患如脉管炎等的患者。
6. 手术操作涉及同一范围部位的患者。
三、操作
(一)准备工作
1. 动、静脉留置针,成人选用18 G~20G(小儿22G,婴儿24G)。
2. 固定前臂用的托手架及垫高腕部用的专用纱布卷等。
3. 皮肤消毒剂、无菌洞巾。
4. 无菌肝素冲洗液(含1U~2U/ml肝素)。
5.测压装置及测量工具,包括三通开关、压力换能器和监测仪等。
(二)具体操作
患者常采用仰卧位,左上肢外展于托手架上,穿刺者位于穿刺侧,患者手臂平伸外展20°~30°角,手掌朝上,手指指向穿刺者,将纱布卷放置患者腕部下方,使腕关节抬高5cm~8cm,并且保持腕关节处于轻度过伸状态。穿刺时将穿刺者左手的食指、中指、无名指自穿刺部位由远心端至近心端依次轻放于患者桡动脉搏动最强处,指示患者桡动脉的走行方向,食指所指部位即为穿刺的“靶点”。穿刺点一般选择在桡骨茎突近端0.5cm即第二腕横纹处。三指所指线路即为进针方向。
1.直接穿刺法 确定动脉的搏动部位和走向,选好进针点,在动脉旁皮内与皮下注射局麻药或全麻诱导后用20G留置针进行桡动脉穿刺。针尖指向与血流方向相反,针体与皮肤夹角依据患者胖瘦程度而异,一般为30°~45°角,缓慢进针,当发现针芯有回血时,压低穿刺针并再向前推进2mm~3mm,针芯仍有回血,略退针芯,仍见持续回血,可向前推送外套管,随后撤出针芯,此时套管尾部应向外搏动性喷血,说明穿刺置管成功。
2.穿透法 进针点、进针方向和角度同上。当见有回血时再向前推进1~2mm左右(撤出针芯无回血即可),然后撤出针芯,将套管缓慢后退,当出现喷血时停止退针,并立即将套管向前推进,送入时无阻力感且持续喷血,说明穿刺成功。
3.B超引导下桡动脉穿刺置管术 床旁超声技术的诊断及操作准确度较高,能减轻患者焦虑及不适,减少操作相关并发症。与盲法下穿刺置管相比,超声引导下桡动脉穿刺置管穿刺尝试次数少,节省时间且成功率更高。为便于评估血管,超声探头的频率范围保持在5~13 MHz。
(1)消毒超声探头:一人用蘸有消毒液的无菌纱布擦拭超声探头,另一人在不污染无菌手套的情况下,用内侧底部涂有无菌凝胶的透明袋接过并包裹探头。将包裹探头的透明袋中空气挤出,以免影响成像。
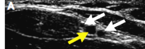
(2)穿刺部位的选择:保证探头在5~13 MHz的频率下开始评估血管。确保探头左侧所处部位的显影在屏幕左侧。自腕部起,对前臂侧面进行横向扫描,在桡骨茎及桡侧腕屈肌之间确定桡动脉及伴随静脉。必要时应用光压鉴别动脉及静脉(静脉是塌陷的,而动脉是充盈的),见图3。
图3.光压作用鉴别动、静脉
桡动脉(A,下方箭头)横断面可见有静脉伴随(白色箭头)。超声探头的光压可引起静脉塌陷但不影响动脉,动脉仍可见(B,箭头)
确定桡动脉后,进一步调整探头,使血管与周围组织对比更分明。调整探头深度,使桡动脉成像处于屏幕中央位置,使血管清晰可见。从腕部扫描至肘窝,注意观察是否存在动脉迂曲及钙化。穿刺部位选在血管直径最大及钙化程度最低部位。优先选择近腕部、远肘部的位置穿刺。
(3)横断面定位下置管:确定穿刺点后,移动探头位置使桡动脉成像处于屏幕中央位置。对穿刺部位皮肤进行局部麻醉后,以45°~60°角插入留置针。轻微挑动留置针,并调整探头保证针头在屏幕上清晰显影。
针尖向动脉推进过程中,注意倾斜探头,保证针尖一直可见。每隔一定时间确定针尖位置,保证其一直位于动脉血管上方。留置针插入血管腔后,检查其反应(图4),或有无血液回流,确定针尖位置正确。调整留置针至水平,以再次确定针尖位于血管内。保持留置针内细针位置不变,将套管继续向前推进,随后撤出留置针内细针,并将压力传感器与留置针套管连接。
图4.横断面定位下置管
超声探头横断面定位下(A)细针插入桡动脉(B,箭头)
(4)纵向定位下置管:纵向定位的情况下也可进行置管(图5)。超声探头纵向确定血管位置。桡动脉成像处于屏幕中央位置后,旋转探头90°。在屏幕中央可见动脉,并确定长轴及血管最大直径处。
图5.纵向定位下的置管
超声探头纵向定位(A)桡动脉,针尖刺入桡动脉(B)
以15°~30°角进针,使针尖与血管长轴保持平行向前推进。如果屏幕上不见针头显影,其可能是在血管壁或血管外,回撤留置针,但不完全撤出,只调整角度使针尖显影可见于屏幕。再次向前推进针尖,直至其进入管腔,并见回血。保持留置针内细针位置不变,将套管继续向前推进,其后撤出留置针内细针,并将压力传感器与留置针套管连接。
4.动脉波形解读
心室收缩期左心室快速射血,血压迅速升高,形成动脉压波形的上升支、峰值和下降支的前部。位于重搏切迹后面的下降部分,直到最低点是心室舒张期的动脉压波形,跟随在ECG的T波之后。重搏切迹反映了主动脉瓣关闭。在主动脉内的血液向外周动脉流动的过程中,也可以产生第二波峰,它因测压部位不同而变化,在桡动脉压力波形中常能看到位于第一波峰后的第二波峰,而股动脉压力波通常只显示一个压力波峰。桡动脉压力波的上升支出现较ECG的R波慢120ms~180ms,这段时间代表了心室肌去极化、左心室等容收缩、主动脉压力向桡动脉传导以及动脉导管压力向压力传感器传导的过程。
压力向外周动脉的传导比血流快,压力传播速率为10m/s,而血流速率为0.5m/s,故身体各部的动脉波形有差别,越远端的动脉压力脉冲到达越迟,上升支越陡,收缩压越高,舒张压越低,但重搏切迹越不明显。
呼吸机对动脉波形的影响 在机械通气中,存在最高与最低收缩压差(SPV),△up是收缩压最大值与呼气末血压差, △down是呼气末血压与最低压差,正常情况下△up=△down,为4mmHg~5mmHg,其反映了前负荷:低血容时SPV和△down升高;慢性心力衰竭时SPV、 △down减少, △up升高。因此,机械通气使静脉回心血量减少,前负荷下降,对于左心衰竭患者有利。
四、注意事项
1.穿刺前应评估近端动脉搏动以证实没有血栓形成。
2.确定穿刺部位是操作成功的关键,末梢循环不良时,应更换穿刺部位。
3.注意无菌操作,管理好动脉通道,尽量减轻动脉损伤,经常用无菌肝素水冲洗动脉(或用无菌肝素水加压至300mmHg持续冲洗),发现血凝块应抽出,不可注入。
4.测量取血时应避免空气进入连接管路和血样;若有少许空气进入,要立即排尽。
5.注意观察,及时发现血管痉挛、血栓、巨大血肿等并发症,一旦发现血栓形成和远端肢体缺血时,必须立即拔除测压导管,必要时可手术探查取出血凝块,挽救肢体。
五、并发症及处理
1.血栓形成 持续冲洗装置可减少栓塞的机会。
2.局部出血和血肿形成 穿刺置管成功后拔除穿刺针,局部压迫止血3min~5min。
3.感染 一般保留3d~4d应拔除测压套管,术后发现局部有炎症表现时,应及时拔除。
六、动脉压波形的变化及意义
1.在不同的动脉段记录血压时,可以看到从主动脉到外周小动脉,收缩压逐渐增高而舒张压逐渐降低,平均动脉压也逐渐降低。
2.通过动脉波形可以粗略估计循环状态。
七、影响直接动脉压测定准确性的因素
1.动脉留置针的位置不当或堵塞 动脉波形的收缩压明显下降,平均压变化较小,波形变得平坦。如管腔完全堵塞,则波形消失。
2.动脉压力波频率范围一般为1~30Hz,大部分波的频率范围在10Hz以内。机械信号转换成电信号有赖于压力传感器和转换系统的材料和组成。由于共振作用,压力测定系统的固有频率(fn)在动脉压力波的频率范围内时,使测得的压力增高。压力套装内充填的液体对压力波动有消减作用,其指标用ζ表示(dampingcoefficient)。ζ的最佳值为0.4~0.6。坚硬的管壁、最小体积的预充液体、尽可能少的三通连接和尽可能短的动脉延长管均可提高测定的准确性。
传感器和仪器故障 首先应结合其他指标,同时判断传感器和仪器工作状态,调节传感器的平面和快速重新调整零点。
动脉传感器的校零
仰卧位:置于腋中线与胸腔中间相平的位置或胸骨后5cm。
侧卧位:只要压力传感器与心脏水平平齐,无论在哪侧上肢进行动脉压监测都没有区别。
坐位:可置于耳后,以反映大脑部位血压。
5.导管内气泡 监测系统中加入0.1ml的小气泡会引起动脉血压增加,0.5ml的大气泡会产生低血压假象。
6.传感器的位置 有创动脉血压监测时,压力传感器应平齐第四肋间腋中线水平,即相当于心脏水平,低或高均可造成压力误差。有研究表明,当压力传感器低于心脏时,收缩压、舒张压均升高;当心脏跳动频率一定时,血压的升高与高度差成正比;当压力传感器高于心脏时,收缩压、舒张压均下降。
附:Allen试验
1. 将患者手腕置于卷起的布垫或沙袋上,手掌向上,用力握紧拳约1min;
2. 检查者用手指在腕部用力压迫桡动脉,使其停止搏动;
3. 数秒钟后患者伸展手指,观察手指与手掌颜色恢复情况:7s内变红,说明尺动脉侧支代偿供血良好;8s~14s变红为可疑;>14s变红为异常。
改良Allen试验(如图所示):
1.检查者将患者手举过头部并要求患者紧握拳约30s;用手指分别同时压迫按压尺动脉与桡动脉,终止其血流;
2.将患者手下垂,并自然伸展手指与手掌,松开对尺动脉的压迫,但是保持对桡动脉压迫,观察手指与手掌颜色恢复情况;
3.一般认为:5s内变红,尺动脉侧支代偿供血良好;6s~15s变红为可疑;>15s变红为异常。如果手指与手掌颜色在5s~15s内变红,认为Allen试验正常,即Allen试验阳性;如果手指与手掌颜色在5s~15s内未变红,认为Allen试验异常,即Allen试验阴性,提示该侧尺动脉不足以保障该手部血供,该侧桡动脉不宜进行穿刺或置管。
参考文献
Ronald E. Miller, et al. Miller’s anesthesia. 8th ed. Philadelphia, USA: Saunders Elsevier, 2015
2. JF Butterworth, DC Mackey. Morgan & Mikhail's clinical anesthesiology. 5th ed. New York (NY), McGraw-Hill, 2013
3.American Society of Anesthesiologists:Standards for Basic Anesthetic Monitoring, ASA standards, Standards, Guidelines, Statements and Other Documents.http://www.asahq.org/For-Members/Standards-Guidelines-and-Statements.aspx
4. Williams J S, Brown S M, Conlin P R. Blood-pressure measurement. N Engl J Med, 2009, 360(5): e6.
5. Webb R K, Currie M, Morgan C A, et al. The Australian Incident Monitoring Study: an analysis of 2000 incident reports. Anaesth Intensive Care, 1993, 21: 520-520.
6.Allen EV. Thromboangiitis obliterans:Methods of diagnosis of chronic obstructive lesions distal to the wrist with illustrative cases. Am J Med Sci,1929,178:237.
7.Heimann PA, Murray WB.Construction and use of cathetermanometer systems.J Clin Monit,1993, 9:45-53.
8.Gardner RM. Direct blood pressure measurementasynamic response requirements. Anesthesiology,1981, 54:227-236.
9.Kleinman B,Powell S,Gardner RM. Equivalence of fast flush and square wave testing of blood pressure monitoring system.J Clin Monit,1996,12(2):149-154.
10.Singh S,Nelson N, Acosta I,et al. Catheter colonization and bacteremia with pulmonary and arterial catheters. Crit Care Med,1982, 10(11):736-739.
11.钟映玉,肖百芳,李鲤.有创动脉压监测在危重患者中的应用.河北医学,2010,16 (11):1344-1346
12.王子文,侯春怡.持续有创动脉监测时换能器放置位置的循证探讨.中国实用护理杂志, 2017, 33(5):372-375
13.Gu WJ, Wu XD, Wang F, et al. Ultrasound Guidance Facilitates Radial Artery Catheterization: A Meta-analysis With Trial Sequential Analysis of Randomized Controlled Trials. Chest, 2016,149(1):166-79.
首页封面图片来源网络,侵删
